[摘要]
背景及目的:深部激光嫩膚與延長患者治療后休息時間及愈合時間相關。我們的目的是比較點陣式剝脫CO2激光與點陣式光熱作用(FP)非剝脫激光嫩膚治療的效果、治療后患者的休息時間及愈合時間。
方法:將有皮膚光損傷的10例受試者(包括9例女性),隨機給予其半側面部單次CO2激光治療(Lumenis公司的UltraPulse®Encore™ 及ActiveFX™ 系統),另半側面部則給予5次FP激光治療(Fraxel SR, Reliant Technologies)。通過治療前后的臨床及照相來評價療效及愈合參數。膠原重塑通過面部兩側的組織學來評價。
結果:單次CO2激光治療與5次FP激光治療的臨床療效是相等的。CO2激光治療所需時間為6.2分鐘,FP激光治療所需時間為24.3分鐘,兩者具有顯著性差異(p=0.0002);單次CO2激光治療后的腫脹在4.3天內恢復,5次FP激光治療后則需13天;單次CO2激光治療后的紅斑在5.3天內消退,5次FP激光治療后則需16.5天;單次CO2激光治療后出現的不適感持續3.3天,5次FP激光治療后則為6.0天;單次CO2激光治療后的休息時間為4.2天,5次FP激光治療后為6.5天。組織學研究表明CO2激光治療后膠原刺激比5次FP激光治療多50%。臨床上,研究者觀察到CO2激光治療側有30%皺紋出現改善,另一側給予非剝脫FP激光治療僅有10%~15%改善。
結論:點陣式剝脫CO2激光激光治療(ActiveFXTM)的效果及安全性均優于點陣式非剝脫FP激光治療。
[介紹]
激光嫩膚被認為是治療皺紋及皮膚光損傷的金標準。該方法最大的缺點在于愈合時間較長。能否設計某種治療方式既能縮短愈合時間,又能達到較好的療效,最近已成為現實。UltraPulse Encore(Lumenis, Inc. Yokneam, Israel)激光儀的ActiveFX模塊,能應用較傳統CO2激光治療創傷更小的治療參數。本研究設計的目的為,比較有皮膚光損傷的受試者在給予UltraPulse®Encore™激光單次ActiveFX治療和點陣式光熱作用(FP)激光(Fraxel SR, Reliant Technologies, Mountain View, CA)多次治療后的休息時間及臨床改善程度。
UltraPulse®Encore™是一種10.6微米波長的CO2激光儀,其靶目標為水。ActiveFX模塊是UltraPulse®Encore™眾多模塊中的一種,要求CPG機頭能實現點陣式皮膚嫩膚。ActiveFX僅剝脫皮膚的表皮層,留下完整健康的橋梁狀結構,從而實現快速的表皮再生。當健康組織的橋狀結構能夠完整的留下,治療后的愈合時間則會明顯縮短。結果為熱量聚集,點陣式剝脫,休息時間也縮到最短。ActiveFX的參數為,能量70~100mJ,密度1~3(剝脫和熱量加熱區域的55%~95%)。
Fraxel? SR 激光系統采用1540nm的玻璃纖維激光,能產生次剝脫脈沖的光線,能量為6~20mJ。FP激光儀應用光學原理將一種熱量形式的能量傳遞到表皮及真皮淺層。
這種FP激光儀治療會形成一種顯微鏡下的凝固組織區域,在皮膚看起來正常后數周才能愈合。
[材料及方法]
在這項前瞻性、半側臉對照研究中,選擇了有皮膚光損傷的10名白種人(9名婦女)作為研究對象。所有受試者均進行了體格檢查并記錄其病史。受試者在研究開始前要求每天用防曬霜,至少持續2周。在研究期間,要求他們避免暴露于日光下及應用廣譜的防曬霜(SPF值不小于30)。
對于每一個受試者,其半側面部給予CO2激光治療,另半側面部則給予FP激光治療。選擇哪一側進行何種治療由隨機來決定,保證比例為1:1。所有的受試者均需簽署知情同意書。CO2激光治療的一側,在治療前90分鐘應用局麻藥,根據需要給予口服止痛藥。FP激光治療的一側,應用藍色染料(OptiGuide Blue)并使其干燥。在治療前可根據需要給予1%利多卡因注射或口服止痛藥。
隨機確定下來的接受FP激光治療的半側面部在2周內共給予5次治療。接受CO2激光治療的半側面部在FP激光治療的最后一次進行單次治療。CO2激光治療的參數為,能量90~100mJ,密度為3(剝脫82%),頻率為75~100Hz,僅治療1遍。對于FP儀,第1次治療開始能量為8mJ,密度為250共8遍。如不同區域需再次光斑治療,則額外增加2遍,能量為16mJ,密度為125~250。在隨后的第2~5次治療中,能量逐漸增加,最大可達到18mJ,密度為250,治療共8遍。對不同區域的再次光斑狀治療,額外增加2遍,能量為10~18mJ,密度為125;除了上述總的10遍外,眶周還需額外的2遍,口周、額、面頰及鼻唇溝還需額外的3~4遍,治療后用普通洗面奶和水去除藍色的染料。
給予CO2激光治療后的面側,受試者會被告知注意以下事項:(1)堅持外用密閉的保護霜防止治療后組織在愈合過程中與空氣直接接觸,(2)用涼水、醋或Cetaphil沖洗面部,每天至少4次共5天。給予FP激光治療后的面側,受試者則被告知應用UVA/UVB防曬霜,SPF值不得低于30,且應含有物理防曬成分。可應用保濕霜來緩解瘙癢及干燥,同時,根據研究者的考慮,應用冰塊或止痛藥。
受試者被要求評價每次治療后的休息時間及在最后1次治療后第3個月及第6個月進行隨訪評價。每位受試者面部兩側的照片在每次來接受治療前及每一次隨訪時通過數碼相機(Model S2PRO, Fuji Finepix數碼相機及Canfield Mirror Suite軟件)獲得。每張照片的曝光度、光線強弱、閃光及焦距都是固定的。
每次照相時,受試者坐在相同的角度及離相機相等的距離,照相前皮膚需徹底洗干凈。
對于受試者中的至少3名,需從面兩側做4次活檢,1次為每次治療前,1次為治療后立即取材,另2次分別在第3月及第6月隨訪時取材。從3名受試者共取得8塊標本,對每一標本需進行標準的光鏡或電鏡組織學檢查。基線及治療后評價用Wilcoxon秩和檢驗,2種設備的比較用Mann Whitney檢驗(非配對結果)。兩側都進行了統計學檢驗。
[結果及討論]
受試者包括9名女性及1名男性,年齡為49.9 ± 8.5歲; I型皮膚(n=1),II型(n=2),III型(n=6),IV型(n=1),彈性組織變性評分2分(n=7),4分(n=1)或無效(n=2)(見表1),為一完整的研究。
兩種儀器每次治療后的即刻反應都為出現紅斑。FP激光治療后,大部分治療區域及每次治療后出現的紅斑嚴重性為中度。CO2激光治療后,所有治療區域出現的紅斑嚴重性也為中度。

兩者比較的結果見圖1。CO2激光治療所需時間為6.2分鐘,FP激光治療為24.3分鐘,兩者具有統計學差異(p=0.0002)。
單次CO2激光治療后出現的面部腫脹在4.3天內消退,FP激光5次治療后共需13天才能完全消退;CO2激光治療后的紅斑在5.3天內消退,FP激光5次治療后需平均16.5天;CO2激光治療后出現的不適持續時間為3.3天,FP激光5次治療后為6天。CO2激光治療后休息時間為4.2天,FP激光5次治療后休息時間為6.5天。CO2激光治療后出現的不適顯著高于FP激光(p=0.0004)。在CO2激光治療期間出現的不適顯著高于FP激光(p=0.0273)。#p#分頁標題#e#

圖1:點陣式剝脫CO2激光(FxCO2)及點陣式光熱作用非剝脫激光(FxNON)嫩膚治療的操作(Proc)、腫脹(Swell)、紅斑(Red)、不適(Disc)及休息時間(Down)的平均時間,除操作時間單位為分鐘以外,其它所有時間的單位為天。操作時間為每種激光儀單次治療的時間。在所有的受試者中,FxCO2的時間均更短。
對于臨床改善程度,由研究者及受試者在3個月及6個月后隨訪時進行評價,且研究者及受試者的評價無顯著性差異。臨床的例子見圖2。

圖2:左側為受試者治療前的照片,右側為給予單次點陣式剝脫CO2激光治療(受試者的左側面部)及給予5次點陣式非剝脫激光治療(受試者的右側面部)后的照片。CO2激光治療設置的參數為100mJ,100Hz,模式3(平方),光斑大小為7mm,密度為3。給予單次單遍治療。點陣式剝脫CO2激光的參數設置則根據患者的反應每次遞增。能量水平為8-16mJ,密度為125-250。每一次治療8遍。在“問題”區域額外增加2遍。眶周和鼻唇溝治療所需的能量要比治療能量水平高2mJ(10-18mJ),必要時密度可減少到125。
在治療后第3個月及第6個月,受試者對兩種儀器治療的滿意程度無明顯差異。
彈性組織變性評分在整個治療過程中無變化。彈性組織評分在兩種儀器治療后無顯著差異。
嚴重不良反應見于其中1例受試者兩次治療后。兩次均表現為輕度的單純皰疹樣皮疹,與FP第2次和第3次治療有關。受試者在治療后10天皮疹恢復。組織學研究表明CO2激光治療后膠原刺激較FP儀治療組多50%。其中1例患者的治療結果見圖3。
[結論]
·對于皮膚變色,ActiveFX單遍單次治療與Fraxel 5次多遍治療具有相似的結果。
·ActiveFX單遍單次治療與Fraxel 5次多遍治療相比具有更優良的去皺和組織學結果。
· 雖然不是本研究的一部分,但ActiveFX及FP治療的經濟學仍需考慮。ActiveFX單遍單次治療實行起來需要更少的時間,讓受試者花費更少,且不會有復發的非必需花費。

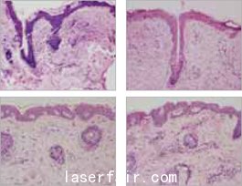
圖3:在治療前(左側)及結束治療后6月(右側)取活檢標本制作組織學切片,受試者一側面部接受單次點陣式剝脫CO2激光治療(上排),另一側面部接受5次點陣式非剝脫激光治療(下排)。顯微學下分析表明CO2激光治療后新膠原有30%的增加,非剝脫激光治療后新膠原增加僅為15%。切片由病理學家Justin H. Ekuan, M.D.及AlirezaTafazzoli, M.D.來評價,照相由James A. Heinrich, M.D負責。
[參考文獻]
1. Railan D, Kilmer S. Ablative treaTMent of photoaging. Dermatologic Therapy, Vol.18, 2005, 227-241.
2. 510(k) Summary. http://www.fda.gov/cdrh/pdf5/K050841.pdf : Accessed October 14, 2007.
3. Fitzpatrick R, Geronemus R, Goldberg D, Kaminer M, Kilmer S, Ruiz-Esparza J. Multicenter study of noninvasive radiofrequency for periorbital tissue tightening. Lasers Surg Med 2003;33(4):232-42.
轉載請注明出處。







相關文章
熱門資訊
精彩導讀



















關注我們




